Team Directory

Check out our wonderful team

https://v5.airtableusercontent.com/v3/u/50/50/1771797600000/_1Yg2_NDP8oLJGFBJoNLgA/k-veqKCOuAFY_fl-SoQ3nDf2mOcWW6VYiPwtS3tsEpnOuqiXNdb-6socWXFu8iKdXp5xDPZ5v2ER-qTf2XtlPhXrx5dyc28P5BcRsMThzRPhTGgiFNFdAA9K4LLuT7jPeQbcyiyYnecY5sNlkRuN1w/zLtcXj4nHZNhJa1mXvu4_r89piW0HtSG0bufzyuA1s81
Cover
https://v5.airtableusercontent.com/v3/u/50/50/1771797600000/DCx4mqFA27G57OiK5CJ3og/L35AS3dJFfWnOe0_BXnuHc_LI2sixoNa41Bzu2gK6g9g-AxVMELEjpwbq0uOegXZoQ6bVIEUGA3RNJebpxoGxbvBIOn5EWNtGwD9sKZCowJqdBPXTOxZdY23ixeg6Y-1p9uCduTNXTuUjweodmP4Jw/RMrZSFgjcpOUBiz0Rb2Lzrj0Y3HFoxb8EMETdLFp4e8

2025-09-22 12:50

Santa Moura Couy SIquara

Sep 22, 2025

Olá Dra boa tarde tudo bem ? Gostaria de solicitar o meu pedido de USG obstétricaconforme conversamospois o exame está agendado para ser realizado amanhã às 10:00 h - Já fiz a coleta também do TSH e o resultado fica pronto hoje final da tarde. Diante disso como proposto pela Sraque eu passa-se “ quarta feira “ pela consulta para mostrar os exames e seguir com a conduta necessária.
https://v5.airtableusercontent.com/v3/u/50/50/1771797600000/cmWWOufma7190NE8xlT2Mw/s0OMZrwqpcG_JvG5P2SXEn7nJcFKPtLuFbKpX6cw7B-ih5UySm3IgoClsRYrns4wO4hWEod9lLNoYOWndmnpwsX-hCC4vmqLm9KxETTlTolQcBfhwKDmELbVsYWmMtAPMOUIzwaDtMW90mga5zKhrQ/hzNp38L7r2OWxwQkHIaXX84FRcq7i36PCYDPcRDHnX0, https://v5.airtableusercontent.com/v3/u/50/50/1771797600000/zFETQzrNdpYVc66ztZfyJQ/9y4s_Bd221KUSmhchEZTR1xSTtlkOzUrZH93Hoy8Zf_f7bS5vyBrhr_mr2Ae1uCHQNJ6E_XgpGfkiGVDZ0zeGK9gVuaIF48ioP_EowM1hxC4woZEVt2-gBFqXtI0uIm-qt2PlzkoSSyQoxyDDynttw/1bogcS5ZV5FcZkWuRd5DcpfeB7C-8as_O1AzxsqFo3c1

2025-10-10 21:09

Uiane Mesquita

Oct 10, 2025

US de hoje. Quarto ciclo de estimulação
https://v5.airtableusercontent.com/v3/u/50/50/1771797600000/ctlCQat6ZRZGTiHZ7iAZcg/b0FdtO6batEdKq10IjmSgJ1nQumpCNAVWsmioWuwyotYqAkiKHipxooor-nK0yXgb8lZ-9KyyfTCQoFL7UxSyP6SOsm2CMO1PPm7W9Ty3fsTaFBzFJu0WqC9Aoi7qjMVvMxZNtlIz72hvjXi9pZNCMF29OCJHKrBPQ7SvcrbLJQ/3cDo2C5uBuTCWoHe8SoL01KsQdLzyqbMoMv414CW6Xs1
Cover

2025-09-22 10:11

Sabrina

Sep 22, 2025

Bom diaestou no aguardo das medicações
https://v5.airtableusercontent.com/v3/u/50/50/1771797600000/gJ21bEEYyhdgcUQzjZ4IrA/iXhnytt5hLZBdmvCffTY4lyMVrDH8zJ0krGJdri5HAWws54DIerdUaE_06o0VgzPSXHweTR1pMsK6_KEgWJALg8cP5h2UaKOpzgQrd3j_m2fLrO8scqdGiUBDss_JFAhTkn8HCbQNDGSWBzg6rGguA/hlcDaTUmxVNZ40tQGIKCGm6ZRF6qAX-mv4FN6AY88Bs, https://v5.airtableusercontent.com/v3/u/50/50/1771797600000/gsw16FQoYCYRApEVDyhhOw/w_5RNk3GE18JZ_J04EdRz13ob74RWnyMMaU0OBNQqLDmdBlbWBPadUi2aCktPNA2DP_0jX9XKY7razkytYe7JBYCE_Maef5Wz7Fqb5x5awenT7ecw5iPTh7GcDzgORG-6Fh555HlyBTvQVQl4OQdIA/UF71S--xdQq2EOYVIVsp1KfoijMetVbm0R6zAI65CoI1

2025-10-06 18:24

Uiane

Oct 6, 2025

Resultado da US de hoje Estou em uso do fostimon 75ui
https://v5.airtableusercontent.com/v3/u/50/50/1771797600000/oDDYoU6EuHs7VM0MHkUFdA/mviZnM-6miy8yT2q51XfkZNj4eICBFd5S8s3DbqBjBlb9tkXUV8mJjwX0FD8iWdAU-FMmOoRu1TIvth7A2N07dF9KSh0yJlvZjP0UClt82BSP6RFTOxmR9qZnt827E4CaFir5jh-A_RzKplKVUCrvA/eBFi0U3HHCvGWzheSew9j49fYXNXbuCVUbysmfboD7M, https://v5.airtableusercontent.com/v3/u/50/50/1771797600000/xUHVuXJUdhIMEz9osAarIg/PbSyn1OBogSfqn58pdDkVzHH4-kYVYi9SyqKq3Pse3Mmiee2U05dbYnj5SvNBnorreVWWH9lxkSJTxrygYfw7VystqipTuM9VU_CAy39GoDiYfDCeL77-EAz2fRHPlGeEbxGU4g8vyXj3jp1fs2vRQ/vDRRYHVqZpWDo4NDyMizmB3iCNGmiBDEtPfyJYqwM6k1

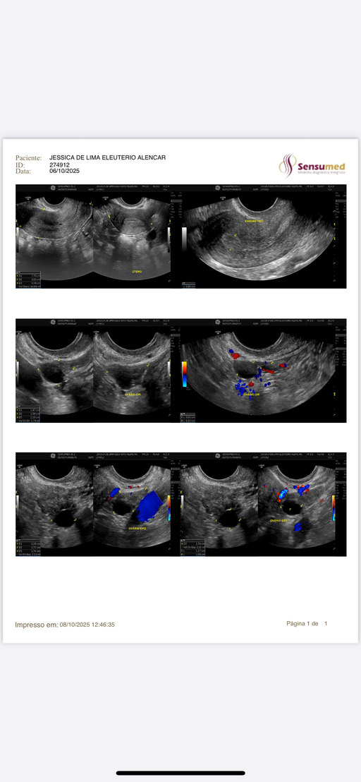
2025-10-08 13:48

JESSICA DE LIMA ELEUTÉRIO ALENCAR

Oct 8, 2025

Resultado de US
https://v5.airtableusercontent.com/v3/u/50/50/1771797600000/ZUcGRy3cCq6naZhzCe80VA/hFGqtMgTcnFkjvcBGHjSmWja-XajX9nmuUKe1pa5y7IUvqXKEvgA_kBk57ZBF-RSZgGG2eM-qbfoQ-dYcnXpsPkWjH4ajQTaGSptTNMZSph3vqMZRX5jEvXMyV0A2E318dfopd56qG-Sk49ZmIcvR5mPi86zErVeuwdwR2Uea_g/dt_AiJyiJzy3yNvTu_-U_HgsnZpo45SH6XZW5YSKUgc, https://v5.airtableusercontent.com/v3/u/50/50/1771797600000/f-mYAeOlHpImpo5L-G4pug/B9UKlqJw4YJE3feMp-qDygswWsbKmWEihU-BGXw5esnmD01VIL9t93ofUt4d37aWEhYmW3HW6HfUfe-YXdg5TJmEq-sR_n8B60X9WD3zxtdKotixx6-451e8y4h86YBO_vwPT5UHxvStJnba6hBTsw/HfPrM1n12WQK3nRFYGpZtreFWgb-UgBaRp6QSj0QX70, https://v5.airtableusercontent.com/v3/u/50/50/1771797600000/XkM6tpHA8XFCj90aKw0z7A/8VqJrtyAh2o_M48SC2E0TIzrxIZMmXX6u2pXNK-yUyEZS3g4q8vKXiEJlCx-fr8DTYX4_hbcFt6rWnk1O8n-b8u2ZOpM8WcBEocg15WKHNsPwKNIV2LIlAkc0LCKKojyKa3QPeIhVvUUWJZg8Y1fQXtL8wLHJFpe8phkbICb3Hk/VCdXbQeU3Eji3Py9tKY_SmWg5ifMGqcbYhiM_ejKCpA, https://v5.airtableusercontent.com/v3/u/50/50/1771797600000/fBmh1NpaVj4IIPwDhLgJAA/3myjsE_y4obl3X2tH_wZQkdLMq34LAvd-BaMSqXCZOCRdmamfZ8U--j_ILqTtvKg_FalCfZD2M_p2Qh_tP5NzY95FFiCNiTSNyppMpe3o_I4igM36l3s4SorXOIQc4C49TWJrH0WFcTDaDZXdyIbHayN246ubEyF9AFui6wg6ug/ugD8KKAGslYcSKWzNLuoGQ37Reb4eoYNnAAM6Gi89ok, https://v5.airtableusercontent.com/v3/u/50/50/1771797600000/fj-bAHNk7gZGP3-zbphDDA/edmxCCTY04RvnZj8QxiIVOqHIpOnpFrlDCVEqFby6Hyq2Kdw_Y63_6_ywYS_yDB27bU8XceHUY-MRgbJ7oMlSHX4Nz--X6UYsPr1eU9PCJhgR57DvVXY1Nv-qz9Ro47YwDh-Y8nP0aSbXnkta4c6u4JZFxTv3U_PsOqYtAjcePE/6zmnyWBMIwU-amoxkJtnHkO_JFuChLBlULEoFpFrQYM1
https://v5.airtableusercontent.com/v3/u/50/50/1771797600000/yOlWmvF4KE0EvsbJENujrg/RO89nieGroy1x5DVX27enlYmt6ZJuv_9jGZaqc-gyGxOzzjoufV3a-1R0HbCU_y0VpwzLFGyrydJFZ-g1Hmq396naJO6-d7LrCSYIPRF9bqz_xYQpOAayvJW2z-ihGcZdKrvtggQTNK1CXWXFDzOqpbGW3uyKv1kQJEbnlmz0Hs/D5wR8nYlm6omfJbv3VZSFPfLHfcHdEVIX_ZhTliwdQ4https://v5.airtableusercontent.com/v3/u/50/50/1771797600000/fcf3-b9-438mnnOmpxoR-g/T_tuROapn8KRJchtNo6V9yJoCtOpo_fr3rKQV0FB9MenvuuPDKdtRKb1yUZhWViN1goL4S8lbeoPqH_PSfdATTss84rDq6VCYO6_HUlTzI6Sis_Z2t6tA8_BUSkG1r4wXIxylbZoTGCqub3ClT814OTSpxRuHkMBNYo4-6hAPn81dHVtrSC5wS3htuzbY5Xp/JZYC34A86pefRFOTwna7dwJnVnOzx18uL0zZUGLXvU4

2025-10-10 16:54

Pollyanna da Costa Araújo

Oct 10, 2025

Uncategorized18

2025-09-07 19:09

Sep 7, 2025

2025-09-09 19:09

Sep 9, 2025

2025-09-11 19:10

Sep 11, 2025

2025-09-16 19:10

Sep 16, 2025

2025-09-26 19:10

Sep 26, 2025

2025-09-17 19:10

Sep 17, 2025

2025-09-04 19:10

Sep 4, 2025

2025-09-06 19:10

Sep 6, 2025

2025-09-05 19:10

Sep 5, 2025